新聞| | PChome| 登入
【悠】 文章數:82
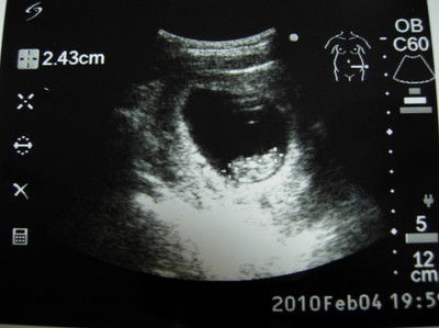
(圖/懷孕週期:9W)寶貝: 你已經2.5cm大了。馬麻每天跪趴在馬桶嘔吐不下二十次,時時刻刻都在煎熬!我也終... (詳全文)
發表時間:2010-02-07 21:20:37 | 回應:0
寶貝: 很久沒跟你說說話了。這一陣子,馬麻真的很不舒服,還勞動阿嬤去雲林照顧馬麻,幸好馬麻學校的同事很體諒,幫... (詳全文)
發表時間:2010-02-03 00:16:54 | 回應:0
寶貝: 剛剛馬麻在視訊通話的那一端,因為身體不舒服而哭得很傷心。不在她身邊的把拔只能跟著很難過,一點忙也幫不上... (詳全文)
發表時間:2010-01-26 23:56:42 | 回應:0
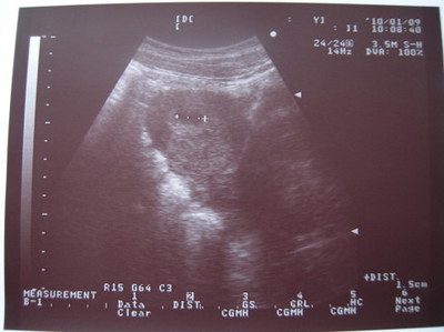
寶貝: 第五週。你已經1.5cm大了,逐漸朝人體的形狀發育。馬麻身體的不適,不曾和緩。 每到傍晚,馬麻的肚子開... (詳全文)
發表時間:2010-01-25 20:12:06 | 回應:1
寶貝: 你的存在已經四週囉!可是現在你還不到一顆蠶豆大,每天只會長大1mm,迷你單室心臟每分鐘跳80次。 馬麻... (詳全文)
發表時間:2010-01-19 22:50:08 | 回應:0
(圖/懷孕週期:3W)寶貝: 首先,歡迎你來到這個世界。呃……我應該先自我介紹,我是你的「把拔」。「把拔」就是... (詳全文)
發表時間:2010-01-10 21:36:06 | 回應:0
一月八日,晚 我想我應該沒發燒看錯吧?對照外盒的圖示才發現……糟了! 總覺得自己數學能力不差啊!怎麼可能連簡單... (詳全文)
發表時間:2010-01-10 18:19:19 | 回應:1
第一頁      ‹上一頁       1 .  2 .  3 .  4 .  5 .  6 .
第 6 / 6 頁 , 共 82 筆           
TOP